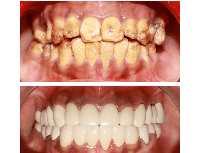
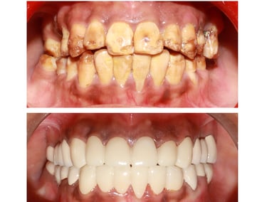
Dental Implant Treatment
Missing teeth can affect not just your smile, but also your confidence, ability to chew, and even the way you speak. At MCR Dental & Implant Super Speciality Clinic, we understand how life-changing dental implants can be. With advanced training in Maxillofacial Prosthodontics, Dr. Dhanush R and his team provide world-class implant solutions that restore both function and aesthetics — helping you smile, eat, and live freely again.


Our Implant Solutions
Single Tooth Implant – A natural-looking replacement for one missing tooth.
Multiple Tooth Implants – Secure bridges or partial replacements without harming natural teeth.
All-on-4 / All-on-6 / All-on-8 Implants – Full arch restoration for complete confidence.
Full Mouth Fixed Implant Supported Dentures – Permanent, stable, and life-like teeth.
Semi-Fixed Overdentures – Enhanced stability for removable dentures.
Basal Implants – Perfect for patients with minimal bone support.
Zygomatic Implants – Advanced solution for severe bone loss.
Bone Grafting & Guided Bone Regeneration – Building a strong foundation for implants.
Sinus Lift Procedures – Preparing the upper jaw for successful implants.
Soft Tissue Grafting – Enhancing gum health around implants.
Benefits for Patients
✔ Permanent, natural-looking teeth
✔ Strong bite force for eating comfortably
✔ Prevents bone loss and facial sagging
✔ Restores confidence and self-esteem
✔ Long-lasting solution with proper care














Super Speciality Dental care
Some dental conditions require advanced expertise and treatment beyond routine care. At MCR Dental & Implant Super Speciality Clinic, we provide specialized services backed by cutting-edge techniques and years of training.
Full Mouth Rehabilitation


Restoring aesthetics and function.




Maxillofacial Prosthetics
Restoring esthetics and function after surgeries. (Eye, Ear, Nose, Obturator & Finger
Relief from jaw pain and dysfunction.
Temporomandibular Joint (TMJ) Therapy




Cleft Lip & Palate Rehabilitation
Functional and aesthetic restoration.
Virtually invisible aligners for discreet teeth straightening.
Clear Aligners (by expert Orthodontist)
Expert care for complex dental and maxillofacial needs
Improved function and comfort
Rehabilitation for patients post-surgery or trauma
Led by a prosthodontist with advanced maxillofacial expertise.
Multidisciplinary approach for best outcomes.
Compassionate, confidential, and highly skilled care.
Cosmetic Dental care
Your smile is your signature — and cosmetic dentistry can help it shine. At MCR Dental & Implant Super Speciality Clinic, we combine artistry with precision to design stunning smiles tailored to your face and personality.
Teeth Whitening


Safe, professional brightening.




Digital Smile Simulation
See your new smile before treatment begins.
Correct chipped, discolored, or misaligned teeth.
Dental Veneers (Laminates)




Smile Makeover
Complete transformation with veneers, crowns, and more.
Tiny, sparkling gems, safe, painless, and non-invasive smile enhancement.
Tooth Jewellery
General Dentistry
we combine advanced speciality care with complete general dentistry, so every member of your family can get the right treatment under one roof.




Our General Dentistry Services
Dental Checkups & Consultations – Comprehensive oral examinations.
X-rays & Oral Diagnosis – Accurate imaging for early detection.
Professional Cleaning & Polishing – Brighter, healthier smiles.
Dental Fillings – Restoring teeth with strong, natural-looking fillings.
Fluoride Therapy – Preventing tooth decay and sensitivity.
Pit & Fissure Sealants – Protection for children’s permanent teeth.
Root Canal Treatment (RCT) – Pain-free and precise care.
Tooth Extractions – Safe and comfortable removal of teeth when needed.
Frenectomy & Flap Surgery – Minor corrective procedures for better oral health.
Complete denture – Affordable, reliable solution for complete missing teeth.
General Dentistry
Healthy teeth are the foundation of a confident smile.
From routine check-ups to preventive and restorative care, we ensure your teeth and gums stay strong for life. Our gentle approach and advanced methods make every visit stress-free — whether it’s a filling, a root canal, or a child’s first dental appointment.
Benefits for Patients
✔ Prevents dental problems before they worsen
✔ Safe and pain-free treatments
✔ Protects natural teeth for longer life
✔ Promotes fresh breath and gum health








MCR Dental and Implant Super Speciality Clinic
"Caring hands, Enhancing smiles"
Contact info
mcrdentalandimplant@gmail.com
+91-9740023971
© 2025 MCR DENTAL AND IMPLANT SUPER SPECIALITY CLINIC. All rights reserved.


1/B, First floor, Vishwamanava double road, Near Andolana circle, Ramakrishna nagar, Mysuru 570022
